47
0
0
Like?
Please wait...
About This Project
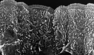
Trans-Epithelial Electrical Resistance (TEER) is an important measure of epithelial tissue permeability. Tissue TEER values change dynamically, however current devices capable of continuous TEER measurements are expensive or have limited functionality. Our goal is to develop a scalable, affordable and functional TEER measurement device to assess circadian tissue permeability.

Browse Other Projects on Experiment
Related Projects
Highly-sensitive, real-time enzyme methane oxidation rate measurements using an electrochemical assay
A low-cost, rapid, and highly sensitive assay is needed to measure methane gas oxidation rates by methane...
Engineering of a suction cup stethoscope for non-invasive monitoring of physiological sounds in baleen whales
Baleen whales are large-bodied predators that, despite their critical role in marine ecosystems, our understanding...
Building a better fish: Engineering fish for smarter aquaculture
What if we built a better fish instead of depleting wild fisheries? Natural stocks can’t keep up with demand...

