Please wait...
About This Project
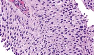
Molecular pathoepidemiology is the study of the cause and natural history of disease on a molecular, individual, and population level, utilizing tissue specimens and data from existing epidemiological studies. We aim to use this method to better diagnose bladder cancer, to more accurately estimate its risk of recurrence, and to inform personalized targeting of anti-cancer drugs. In the long term, we plan to apply these principles to other cancers and related illnesses.

Browse Other Projects on Experiment
Related Projects
Toward ethical and affordable antivenom solutions: Can anti-toxin be animal cruelty-free?
Snakebite envenoming causes over 100,000 deaths annually, yet current antivenoms depend on animal plasma...
Microplastics: Can engineered enzymes remove microplastics from the human body?
Polyethylene terephthalate (PET) microplastics have been detected in human blood and tissues, and linked...
Shutting down cancer’s recycling system with exosome-based therapy
Pancreatic cancer is one of the deadliest cancers because its cells survive by recycling their own components...


